what is scurvy???
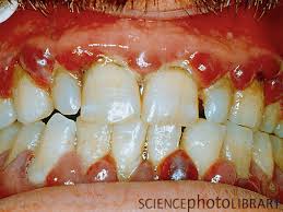
Scurvy is a condition where an individual has a vitamin C (ascorbic acid) deficiency. The name scurvy comes from the Latinscorbutus, and humans have known about the disease since ancient Greek and Egyptian times. Scurvy commonly is associated with sailors in the 16th to 18th centuries who navigated long voyages without enough vitamin C and frequently perished from the condition. Modern cases of scurvy are very rare.
Humans are unable to synthesize vitamin C - which is necessary for collagen production and iron absorption - and so they must obtain it from external sources (such as citrus fruits). Therefore, people must consume fruits and vegetables that contain or are fortified with vitamin C in order to avoid the vitamin C deficiency known as scurvy.

Scurvy is a condition where an individual has a vitamin C (ascorbic acid) deficiency. The name scurvy comes from the Latinscorbutus, and humans have known about the disease since ancient Greek and Egyptian times. Scurvy commonly is associated with sailors in the 16th to 18th centuries who navigated long voyages without enough vitamin C and frequently perished from the condition. Modern cases of scurvy are very rare.
Humans are unable to synthesize vitamin C - which is necessary for collagen production and iron absorption - and so they must obtain it from external sources (such as citrus fruits). Therefore, people must consume fruits and vegetables that contain or are fortified with vitamin C in order to avoid the vitamin C deficiency known as scurvy.
No comments:
Post a Comment
Leave your comment after read my story ...
Jasa mu amat dihargai...
trimas !